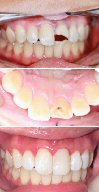
Bioclear – A Very Conservative Approach In Preserving Tooth
Bioclear is a method utilizing injection-molded heated composite to create strong and esthetic restorations including veneers and crowns without having to cut down a substantial amount of tooth structure required for porcelain veneers or crowns.
Bioclear preserves your teeth without the need for additional tooth removal preventing nerve damage often associated with the method of replacing broken down teeth with crowns, porcelain veneers and restoring root canal treated teeth.
Biolear works by selectively removing just the diseased portion of the tooth and injecting heated composite placing the tooth under compression, thus strengthening it and preventing fracture. This technique also eliminates the need for shaving down additional tooth structure as is required for installing crowns.
It is an alternative to crowning teeth even in the presence of multiple hairline cracks on a tooth, which normally would need a crown. Here is the Bioclear restoration on a tooth with multiple cracks versus a tooth that was prepared for a crown.
Which would you choose? Preserving tooth structure or having your tooth shaved down for a crown?
 
            